Experience best dental care at Dr. Lahane’s Dental Clinic. Led by Dr. Rohini Lahane (MDS), we specialize in painless treatments, advanced pediatric care, and complete smile transformations for adults. Your journey to a healthy, confident smile starts here
Welcome to Dr. Lahane’s Dental Clinic — a place where dental visits are fun, fear-free, and full of smiles!
Led by Dr. Rohini Lahane (BDS, MDS) — a highly experienced pediatric dentist with 18+ years of expertise — our clinic is specially designed just for children. From colorful interiors to a caring team that understands kids, everything here is created to make your child feel relaxed and happy.
Whether it’s your baby’s first tooth, a routine check-up, or treating cavities, we’re here to make every visit smooth, gentle, and stress-free for both kids and parents.












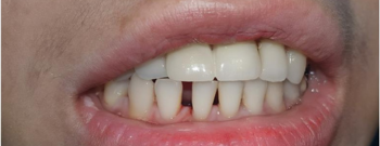
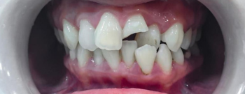
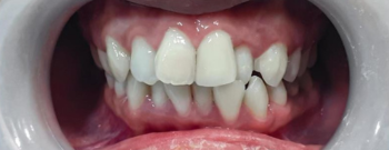
Every child deserves a healthy start. View the transformations we’ve achieved through dedicated care, advanced technology, and a deep understanding of young dental needs.




Choosing the right dentist for your child makes all the difference — and here’s why parents across Pune choose us:
We don’t just treat teeth — we build confidence, comfort, and lifelong healthy habits.
Walk-ins welcome. Easy appointment booking. Flexible slots for working parents.
Lorem ipsum dolor sit amet, consectetur adipiscing elit. Curabitur laoreet cursus volutpat. Aliquam sit amet ligula et justo tincidunt laoreet non vitae lorem. Aliquam porttitor tellus enim, eget commodo augue porta ut. Maecenas lobortis ligula vel tellus sagittis ullamcorperv vestibulum pellentesque cursutu.
Lorem ipsum dolor sit amet, consectetur adipiscing elit. Curabitur laoreet cursus volutpat. Aliquam sit amet ligula et justo tincidunt laoreet non vitae lorem. Aliquam porttitor tellus enim, eget commodo augue porta ut. Maecenas lobortis ligula vel tellus sagittis ullamcorperv vestibulum pellentesque cursutu.
Lorem ipsum dolor sit amet, consectetur adipiscing elit. Curabitur laoreet cursus volutpat. Aliquam sit amet ligula et justo tincidunt laoreet non vitae lorem. Aliquam porttitor tellus enim, eget commodo augue porta ut. Maecenas lobortis ligula vel tellus sagittis ullamcorperv vestibulum pellentesque cursutu.
Walk-ins welcome. Easy appointment booking. Flexible slots for working parents.
EXCELLENT Based on 15 reviews Posted on Poonam DhadiwalTrustindex verifies that the original source of the review is Google. Mam is very calm and friendly with the kids.. Highly recommend for the kids Dental treatment.Posted on Bhupesh RautTrustindex verifies that the original source of the review is Google. Good experience from start to finish. Clear communication, no unnecessary procedures, and proper guidance on dental care. Would definitely visit again if needed.Posted on Parvez PathanTrustindex verifies that the original source of the review is Google. We rushed to Dr. Lahane’s Dental Clinic due to my child’s sudden tooth pain. Dr. Rohini Lahane examined carefully and treated the issue the same day for my daughter. Pain relief was immediate and she explained the full problem in simple words. Very genuine, patient, and professional pediatric dentist.Posted on Shaikh NasirTrustindex verifies that the original source of the review is Google. Best thing about Dr. Rohini Lahane is her patience with children. My little one was crying initially, but she calmed her down within minutes using very gentle communication. Treatment finished quickly and stress-free. I strongly recommend Dr. Lahane’s Dental Clinic for kids’ dental care.Posted on Sayali WaghmareTrustindex verifies that the original source of the review is Google. One of the best dentists in Hadapsar for kids and adults. My niece had tooth pain and got same-day treatment. Doctor explained everything clearly and the pain relief was immediate. Very genuine and professional dental care.Posted on Mahmadsohel DesaiTrustindex verifies that the original source of the review is Google. Best dental clinic for kids. Dr. Rohini Lahane handles stubborn toddlers with great patience. My daughter’s extraction was done before she could even cry. Modern setup, friendly nature, and my cleaning was quick and painless too. Definitely our go-to clinic nowPosted on inder makhijaTrustindex verifies that the original source of the review is Google. Great experience. Dr. Rohini was friendly and did a wonderful job for my son root canal treatment. Charges were nominal. I recommend this clinic for anyone looking for quality dental care.Posted on Dr. Vrushali MaisekarTrustindex verifies that the original source of the review is Google. Dr Rohini is a very knowledgeable and polite doctor with very good skills and experience. I strongly recommend her .Posted on Lata MoreTrustindex verifies that the original source of the review is Google. I had a best experience I had two root canal treatment. I recommend Dr. Rohini.Posted on Anjali KasurdeTrustindex verifies that the original source of the review is Google. Dr. Rohini Ma'am is best dentist i ever meet. Had a great Experience and treatment.. definitely will suggest for for good dental treatment.. thank you
A: Ideally, your child should visit the dentist when their first tooth appears or by their first birthday. Early visits help prevent dental problems and build healthy habits.
A: Most children should visit the dentist every 6 months. However, Dr. Lahane will recommend a schedule based on your child’s specific dental health needs.
A: Not at all! A routine dental checkup is completely painless. Our clinic uses gentle techniques and a child-friendly approach to ensure your child is comfortable throughout.
A: Keep it simple and positive! You can say, ‘We’re going to visit a kind doctor who will count your teeth and help keep your smile clean.’ Avoid using words like ‘hurt’ or ‘injection.’
A: No fasting is required for a routine checkup. However, it’s best to avoid giving your child a large meal right before the visit, especially if they tend to feel anxious.
Dr. Rohini Wadekar-Lahane is a highly experienced dentist specializing in both adult and pediatric dentistry. With a BDS degree from Govt. Dental College, Aurangabad, and an MDS in Pedodontics Preventive Dentistry from Govt.
Mon – 10 am to 9 pm
Tue to Fri 10 am to 9:30 pm
Sun – 11 am to 9 pm
Copyright © 2026 – All rights reserved. Created and Maintained by – DMX DIGITAL